高田歯科医院ロゴ

北海道帯広市の歯医者~インプラント手術や保険外治療も「医療法人和光会 高田歯科医院」

インプラントImplant

インプラントの事例紹介

50歳 / 女性

奥歯が抜けそうになっている。全体的に見てもらいたい。

治療内容
ガイデッドサージェリーにてインプラントを埋入。(All-on4)下に4本埋入。上は総義歯。

治療期間
インプラントが骨につくまで3ヶ月。治療終了まで約1年。

  • Before前
  • After後
  • 前
  • 後
  • 前
  • 後

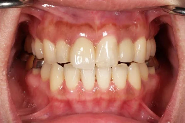
64歳 / 女性

1週間前より前歯が動いてる。その他虫歯を治したい。

治療内容
ガイデッドサージェリーにてインプラント埋入。上に6本、下に3本埋入。下は9本オールセラミッククラウンを被せた。

治療期間
インプラントが骨につくまで上は7ヶ月、下は3ヶ月。

  • Before前
  • After後
  • 前
  • 後

39歳 / 女性

上の前歯2番目と3番目の左右が乳歯のままで大人の歯が生えてこない。これから どうしたら良いのか相談したい。

治療内容
ガイディッドサージェリーにてインプラントを埋入。上の前歯に4本埋入。

治療期間
インプラントが骨につくまで4か月。治療終了までに約1年。

  • Before前
  • After後
  • 前
  • 後

55歳 / 男性

奥歯の歯がないので治して欲しい。

治療内容
右に1本、左に2本インプラント埋入。上の前歯6本、右下2本オールセラミッククラウンを被せた。

治療期間
ただいま治療中。

  • Before前
  • After後
  • 前
  • 後

38歳 / 女性

右上の前歯の差し歯をぶつけられて折れた。

治療内容
頬側の根を残し骨が減らないようにしてインプラント埋入。

治療期間
インプラントが骨とつくまで5ヶ月。治療終了まで8ヶ月。

  • Before前
  • After後
TOP

高田歯科医院ロゴ